Att dricka dessa teer hjälper dig att sova bättre, stimulerar hjärnans funktion och sänker blodtrycket Grönt te är välkänt för sina antioxidanter och antiinflammatoriska
Home Safety Guide
En brittisk kardiolog har identifierat fyra nästan omärkliga kroppssignaler som kan tyda på att ditt hjärta behöver kontrolleras. Oliver Guttmann, överläkare
Home Safety Guide
Chiafrön är rika på fibrer, omega-3-fettsyror, protein, vitaminer Chiafrön är rika på många viktiga ämnen och mineraler, och att lägga till dem i din kost kan vara till.
Home Safety Guide
Även när du bantar är det bra att äta nötter varje dag Under lång tid trodde man att nötter på diet inte borde konsumeras eftersom de är för...
Home Safety Guide
Frysning bevarar livsmedel under en längre tid eftersom det stoppar tillväxten av mikroorganismer Kan jag äta mat från frysen som har gått ut för länge sedan?
Home Safety Guide
Du kan bota maxillär bihåleinflammation eller utföra förebyggande hemma, om du har en kvalitetsenhet till hands. Gaymorit – en sjukdom som påverkar
Home Safety Guide
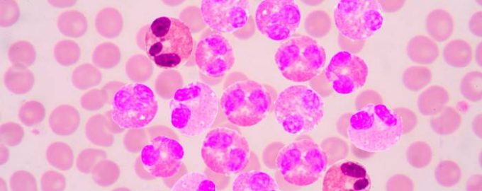
Om leukemiceller ansamlas och tränger ut normala celler kan detta leda till farliga symtom och problem. I varje människokropp föds, arbetar och dör alla friska celler.
Home Safety Guide
Dessa nötter innehåller essentiella aminosyror, hälsosamma enkel- och fleromättade fetter, fibrer och antioxidanter Pistagenötter är älskade över hela världen.
Home Safety Guide
De vanligaste misstagen som leder till synförlust över tid har identifierats Ögonen är ett av de känsligaste organen som till och med kan skadas av dagliga vanor.
Home Safety Guide
Genetik, matlagningssvårigheter, sjukdomar och sömnproblem har bidragit till förändringar i frukosttiden Att börja dagen på rätt sätt kan inte bara förbättra
Home Safety Guide